
Întotdeauna mi-am certat pacienţii ai căror copii sugeau degetul ori suzeta, la vârste înaintate, adică după 3 ani. Celor cu copii mai mici, le sugeram cam indiferent de cât de mai mici erau copiii, să înceapă încet-încet demersurile pentru stoparea acestui obicei vicios. Îi sfătuiam să citească puţin despre metode de dezvăţare, încât să nu fie ceva traumatizant pentru copil. Îi avertizam că se lasă cu plâns. Dar le explicam că e în interesul copilului şi că puterea e în mâna lor. Îi speriam bine (le spuneam că pericolul nu e numai că se strâmbă dinţii, pe ăia îi putem îndrepta cu sârme, dar se strâmbă oasele, care nu se mai corectează apoi decât –Doamne fereşte- cu operaţie. Cine vrea să-i dea malformaţii copilului său?! )
He cries, it breaks your heart, you carry on.
Acestea erau cuvintele mele exacte. Le rosteam aproape automat, ca pe o poezie. Înţelegeam că plânsul copilului îţi face inima bucăţi când eşti mamă-sa, dar înţelegeam mult mai bine pericolul.
Am avut nişte paciente, 3 surori. Venite cu mama lor. 3 , 5 şi 7 ani. Toate aveau nişte modificări destul de urâte, toate sugeau degetul. Inclusiv cea mare. I-am explicat mamei că trebuie să ia atitudine, deja nu mai este opţional. Când 3 copii ai aceluiaş părinte au exact acelaşi obicei vicios şi malformaţii dento-alveolare, deja nu mai poţi da vina exclusiv pe gene, mai ales că pe gene nu le mai putem schimba. Tipa zicea că, lasă, le pune aparat când sunt mai mari. Asta nu e o soluţie chiar aşa de simplă, implică alte complicaţii pentru copil (să fim serioşi, chiar e aşa o plăcere să faci vizite regulate la ortodont şi să porţi sârmele alea în gură? Ca să nu mai zic de impactul psihologic). Se poate să fi menţionat cuvintele „child negligence” şi „social services”. A funcţionat. Un an jumătate mai târziu, la fetiţa cea mică se corectase muuult problema, maică-sa era superîncântată şi mi-a mulţumit. Deci, fapte, nu vorbe.
Bun, acum să treacă Miruna-mămica la microfon, că Miruna-dentistul şi-a făcut numărul.
SUZETA. În engleză, are un nume tare fain: pacifier. Adică, un fel de împăcuitor. Liniştitor de copil. Că , normal, nu vrei să urle ăla mic, nimănui nu-i place, mai ales lui. Plus, între suzetă şi deget, cred că e de preferat prima, că pe deget nu prea ai cum să-l arunci la gunoi, dai la copiii mai mici, la ciori ori zâne măseluţe. Când era Tudor mic-mic, voia să sugă şi când nu îi mai era foame. Ceea ce nu era o problemă în majoritatea timpului, exceptând acele momente în care eram pe afară, în maşină, etc, iar sânul nu era chiar la-ndemână. O variantă foarte bună ca să linişteşti copilul era suzeta (după ce a început să sugă bine, ştiu şi eu lucrurile astea). M-am gândit zile şi nopţi, când e momentul oportun să o introduc, dacă sunt cea mai oribilă creatură de pe pământ că îi bag copilului plasticul în gură, că nu e ceea ce i-am promis când l-am invitat în familia noastră şi alte cele. Cert e că atunci când i-am dat suzeta prima dată, am plâns de 3 ori. Bărbatu-mio era cu o faţă lungă, nu înţelegea săracul de ce a încetat copilul să plângă şi a început mă-sa. În fine, noroc că pruncului nu-i place suzeta, o scuipă proiectil, e cea mai inutilă chestie pe care am dat banii.
DEGETUL. De la o vreme însă, şi-a descoperit degetul. Degetele. Pumnii şi toată mâna. Norocul lui e că le molfăie doar, le linge ca pe îngheţată. Doar că nu se ştie niciodată ce tentaţii stau după colţ şi ce plăceri la îndemână. La propriu, spun asta. Nu ştiu dacă e normal să-ţi faci atâtea probleme, sper că mai sunt mame care-şi fac atât de multe gânduri pe un subiect atât de simplu.
Am o prietenă bună ortodont şi am întrebat-o pe ea. Lucrează în Sibiu, la clinica stomatologică Unique Smile. E o tipă foarte pasionată, genul care dă mai mulţi bani pe cursuri decât pe genţi. Să vedeţi ce mi-a răspuns la câteva întrebări:
1. Degetul sau suzeta? Sau pumnul, amândoi pumnii? Care-i răul cel mai mare?
Nimic. Orice factor care transmite o forță mică dar constantă pe parcursul creșterii poate influența negativ. Până la 3 ani e ok, și suzeta și degetul și colțul de la păturică … apoi, cu cât se prelungește, e mai nociv.
2. Până la ce vârstă e ok să lăsăm bebeluşul să sugă deget/suzetă? La ce vârstă devine super periculos?
Până la 3 ani este un lucru firesc, ce face parte din obiceiurile fiziologice ale unui copil, și nu produce efecte adverse. Persistența peste 3 ani, duce la modificări ale osului maxilar. Adică al întreg complexului nazo-maxilar, cum ar fi maxilar îngust, ocluzie deschisă, care atreneaza apoi alte obiceiuri- respiratia orală, eventual interpoziţia limbii prin spațiul creat de deget.
Oprirea obiceiului la o vârstă optimă- 3-4 ani reduce anomalia, dacă funcțiile normale sunt restabilite.
Un maxilar îngust mai apoi antrenează și mandibula să rămână mică, și retrognată (adică mai în spate)- creșterea este influențată. Mai apoi și prin presiunea mâinii asupra mentonului (adică bărbiei), “ajută” ca mandibula să nu crească suficient și să determine o arcadă mandibulară înfundată de cele mai multe ori în formă de trapez. Bineînțeles, toate aceste modificări osoase antrenează și modificări de poziție a dinților- înghesuiri dentare, protruzia excesivă a incisivilor superiori, retruzia dinţilor inferiori.
3. Care e cel mai rău efect secundar al acestui viciu din punct de vedere dentar?
Poziția dinților se poate corecta ortodontic, fără probleme. .. Cel mai mare viciu este modificarea osoasă care se produce, palat îngust, boltă adâncă, mandibulă mică, retrudată și facies de pasăre…cu inocluzie labială. Modificările bazelor osoase sunt mai greu de corectat doar ortodontic, acolo trebuie și tratament chirurgical de cele mai multe ori. Din cazurile pe care le văd, menținerea obiceiului de sugere a degetului, până la vârsta adolescenței duce la anomalii dentomaxilare, care se mai pot corecta doar chirurgical.
4. Ce facem cu atitudinea părinţilor de „lasă, îi punem aparat dentar când creşte mare!”?
Aparatul dentar din păcate nu poate rezolva 100% problemă produsă, după cum am zis deja. Depinde vârsta la care se întrerupe obiceiul, cu cât e mai târzie, cu atât mai grav. Mulți pacienți vin cu probleme de gen, și constată la ortodont că, de fapt, lucrurile stau mult mai grav decât și-au imaginat. Şi au și o atitudine greșită uneori către copil .. vezi ți-am zis eu să nu mai sugi degetul…. dar eu consider că decondiționarea obiceiului vicios ține de părinte. Și da , de multe ori ne e milă de că săracul, că lasă-l că e mic și el…și alte asemenea scuze.. Adevărat e greu să fi uneori strict cu copilul…dar toate astea au un răspuns mai târziu.
5. Cea mai eficientă tehnică de dezvăţare, din experienţa ta?
Nu există :)). Cea mai eficientă este cea care merge cu fiecare în parte. E ca și cu tratamentele. Nu toate funcționează la fel la toți pacienții. Depinde. Îți pot enumera câteva, chiar dacă unele pot părea barbare. Și uneori chiar nici cele barbare nu funcționează. Atunci, eu zic că trebuie să trecem la o abordare psihilogică… Ziua se pot controla mai ușor, noaptea e mai problematică sau în timpul somnului. E un gest de alint, de fapt.
Alte tehnici: tot felul de substanțe pișcăcioase, ardei iute etc pe degete
mănuși fără degete noaptea
leucoplast pe gură noaptea
atele la mâini
cămașă de noapte cu mâneci legate…. Da, știu, sună barbar…
Eu recomand, dacă s-au încercat metode mai puțin agresive și nu s-a reușit, să se aplice un aparat special construit cu niște țepi pe palat, care nu mai produce plăcere în momentul în care introduce degetul, și care nu-i mai permite mișcarea de sugere…



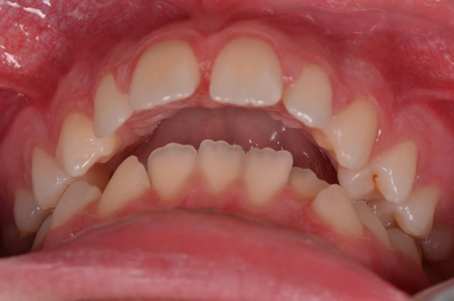
Aici aveţi o fetiţă de 14 ani, care a supt degetul. Cam asta se poate întâmpla cu dinţii şi oasele. Vedeţi ocluzia deschisă (dinţii nu se mai întâlnesc), cei de sus sunt mult aduşi în faţă, iar cei de jos mult împinşi în spate, cu os cu tot. Mulţumesc, Andreea, pentru poze.
Părerea mea e că se pot opri aceste obiceiuri vicioase (vorbim de folosirea îndelungată a suzetei, suptul degetului şi oricăror altor obiecte între dinţi) şi într-un mod mai puţin barbar, cum zice Andreea. Dacă aţi păţit şi-aţi reuşit, musai să-mi povestiţi cum aţi făcut! Noi încă nu am ajuns în stadiul acela, sper să nici nu fie cazul. Însă, ce îmi sfătuiam şi pacienţii este să nu ofere niciodată suzeta când pruncul e liniştit (am scris aici) şi să construiască o poveste în jurul opririi folosirii ei. Nu spuneţi copilului că e ruşine să sugă degetul, ruşine e când minte sau fură. Spuneţi-i că degetul e pentru scris, mâncat, etc, stabiliţi un termen limită după care nu va ma folosi suzeta/degetul. O aniversare e un pretext ideal. Sau orice alt eveniment. Şi, cel mai important, ţineţi-vă voi, părinţii, de cuvânt. Copilul o să mai ceară suzeta, va mai căuta degetul. Amintiţi-i care-a fost înţelegerea şi rezistaţi tentaţiei de a ceda.
Vă doresc succes şi să nu vi se rupă inima.
imagine via Shutterstock, suzetă
Dacă doriți să aflați când scriu, vă invit să urmăriți pagina de facebook a blondelor.



Ina
Pe la 2,5 ani am inceput sa ii taiem din suzeta, varful, apoi din ce in ce mai mult. Prima noapte a fost un urlet minunat, te rog, asta nu mai e buna, sa cumparam alta, te rog, si lacrimi si tavalit. Apoi treptat treptat a renuntat singur, tinea suzeta asa, ca pe tigara, in coltul gurii, in joaca, in 2 luni cred am scapat cu totul de ea.
Fi’miu a fost, si este, degraba urlator. Recunosc, suzeta a fost un sprijin pentru noi. Sa fim sanatosi! 🙂
Copila Blondă
cred că şi pentru el, doar nu cred că urla de fericire. Dacă pruncul cere ceva de alinare, e o nevoie a lui, pe care o putem satisface. Secretul e cât timp folosim această metodă. Însă şi eu m-am simţit vinovată că am încercat… habar nu am de ce.
Andreea L.
Fetita mea, nu a avut niciodata suzeta. i-am cumparat si noi, ca parinti de treaba ce suntem, dar o tot scotea afara. n-am insistat. Cu cel mare, insa, am avut de furca…tinea si 2 suzete in gura la un moment dat…nu-mi amintesc cum a renuntat la ea…dar avem poza cu cele 2 suzete in gura, !!
Copila Blondă
Oare de ce depinde dacă vrea să nu suzetă? sunt foarte curioasă dacă ştie cineva.
Roxana
Oare să fie un mit că cei alăptați refuză suzeta, pe când cei hrăniți cu biberonul, o acceptă?A mea, alăptată fiind, a refuzat-o!:)
Miruna
Și bebelușul meu tot așa. Ideea e că suzeta poate afecta alăptatul la început.
Catalina
A mea alăptata a luat suzeta și mare dragoste s-a format
zgomotoasa
Experiența mea cu suzetele respectiv degetul nu a fost una plăcută.
Mama mi-a luat suzeta pe când avem 6 luni și am început să-mi sug degetul. Procesul a continuat până pe la 8 ani când am fost nevoită să port primul meu aparat dental mobil. Evident că nu și-a făcut efectul pentru că nu eram foarte disiplinată, așa că pe la 12 ani am avut nevoie de aparat fix care a costat o groază de bani.
Nu știu cum voi face eu cu copii mei, dar vorba aceea – până atunci va mai curge multă apă de Dunăre.
Copila Blondă
se spune că e mai uşor să dezveţi copilul de suzetă decât de deget. Însă adevărul e că uşor oricum nu e şi că secretul stă în mâna părintelui, cât e de perseverent. Altfel, uite ce păţeşti!
Şi la 12 ani l-ai purtat?
Anda
Eu am supt degetul o vreme cand eram mica-mica. Matusa mea, stomatolog, m-a vazut (cred ca aveam undeva pe la un an, un an si ceva), si a atentionat-o pe mama. Solutia salvatoare a fost manusa (cu degete). Normal ca nu am agreat materialul respectiv si m-am oprit. Fara scandal si plansete, m-am pus pe leganat pana am adormit 🙂
[din spusele mamei, eu nu am amintiri atat de vechi]
Copila Blondă
şi dinţii cum sunt? că nu ne-ai spus continuarea 🙂
Anda
Dintii n-au avut probleme pentru ca s-a intervenit cu manusa in timp util, inainte sa apara problemele
Copila Blondă
super!
alex
Bebe al meu ar un an. I-am luat suzeta cand avea 4 luni pentru ca urma un zbor cu avionul si citisem ca trebuie sa suga ceva in timpul decolarii/aterizarii si ce ma fac daca nu vrea san. Nu a vrut deloc suzeta. Cand si-a descoperit manutele, incepuse sa isi suga degetelele, chiar a adormit de vreo 2 ori asa, dar in 3 saptamani s-a dezvatat. Cand isi sugea degetelul, eu credeam ca il suge de foame si il inlocuiam cu san…si asa a renuntat. Acum isi mai baga degetul in gura caci ne pregatim de noi dintisori, dar nu le suge, isi maseaza gingiile.
Copila Blondă
Aşa face şi Tudor!!! Nu suge, parcă îşi ronţăie degetele. Şi câte 3-4 o dată. Fix acum îmi povestea o prietenă care are un băiat cu o săptămână mai mare decât Tudor, că şi el la fel face: nu suge, molfăie doar. O fi moda la bebeluşi, mai ştii? Ai noştri sunt prea mici să le apară dinţii.
Valeriu
Ardei iute pe degete. Clasic si sanatos.
Copila Blondă
Tu citeşti articole despre bebeluşi? Mi-a scăpat ceva? Musai să ne vedem.
Ramona
Eu am dintii inghesuiti (bun, is lopeti pe arcade mici) si probabil, pe langa darul genetic amintit mai inainte, s-a datorat si degetului. Doua de fapt. Pe care le-am toscait ceva timp, mai ales ca in primiii 5 ani de viata cam ele singurele au fost alinare. S-au luptat ai mei dupa aia sa ma dezvete, dar a fost un proces anevoios.
Fii-mea e fan suzeta. Incepem sa ne pregatim sa o scoatem din decor, are 2 ani si 4 luni momentan. Ma bucur intr-un fel ca nu are treaba cu destele, mi-e ca pe alea nu le pot arunca la gunoi asa de usor 😀
Copila Blondă
şi te-ai gândit cum o să faci? părinţii sunt atât de inventivi, că iau notiţe!
Anca
Băiatul meu (mare urlatorde altfel) a renunțat imediat 1,5 ani la suzeta. Bine, sa ne înțelegem: initiativa nu i-a aparținut. Am profitati de contextul creat: el avea dureri asociate erupției dentare și nu doar sugea ci și rodea suzeta. În felul acesta a reușit să rupă parțial tetinele din silicon (la un moment dat îmi făceam griji ca rupe de tot tetina suzete își înghite, așa ca am luat la un moment dat una rupta am tot tras cu degetele de ea sa îi testez rezistenta și în mod surprinzător nu am reușit sa o rup aproape de loc). Bun, cu testul anti-rupere făcut, am luat foarfeca și am tăiat tetina pe linia deja gaurita de el. Mai rămăsese din suzeta doar partea din plastic și un cotor din silicon. Clar nu a mai fost preferata. Așa am continuat pana am epuizat tot stocul de suzete din casa. Copilul tot îmi cerea să cumpăr altele noi (se prinsese deja ca putem cumpăra diverse lucruri de la magazin), dar noi ne întorceam de la cumpărături cu același text: “nu am găsit. Nu mai aveau suzete”. Dacă vedea intamplator una prin magazin îi explicam ca aia nu e marimea potrivita, este marimea pentru bebeluși, lui îi trebuie alta…
Cu degetele nu am avut probleme, însă fetita văd ca are o afinitate ptr degetul cel mare și nu e chiar așa prietena cu suzeta. Vedem cum va evolua și aceasta poveste.
Miruna, o întrebare: cum e situația cu băutul laptelui din biberon după o anumita vârstă? Produce efecte negative asupra danturii si in ce măsură?
Copila Blondă
da, produce. E după vârsta la care apar dinţii. E ceea ce se numeşte “caria de biberon”. Se întâmplă când bebeluşul adoarme cu biberonul în gură, nespălat pe dinţi. De aceea, recomandarea e ca întotdeauna să dai copilului să mănânce, să îl speli pe dinţi şi gata. Doar apă după asta. În teorie.
În practică, îţi urez mult succes. 😛
Fără glumă, nu prea ai cum să eviţi adormirea cu biberonul în gură. Sau na, cinste celor care reuşesc! Ce faci, îl trezeşti să-l speli pe dinţi? O să prindă un drag de periuţă de nu-l mai determini să se apropie de ea veci… deci nu ştiu care e soluţia. Să îl speli totuşi de 2 ori pe zi pe dinţi şi să ai grijă la dulciurile de peste zi. Plus nişte rugăciuni.
Copila Blondă
p.s. AM văzut nişte dezastre în gurile copiluţilor, de nu îţi imaginezi! Dacă vine şi obiceiul ăsta de mai sus şi un teren cu risc crescut de carie şi o dietă cu mult zahăr, e minunat!
Anca
Ok. Mulțumesc.
De adormit cu biberonul în gură nu a fost cazul la noi. Băiatul e foarte energic, chiar și după ce își bea laptele are o expresie de parcă te întreabă “acum ce activități avem planificate?”. Targetul e sa scăpăm de tot de biberon pana la vârsta de 3 ani. Pana acum dintii arata ok (asta e verificat cu ochii mei de ne-specialist în domeniu), ii periem dimineața și seara și (vorba ta) ne rugam! Oricum, băutul laptelui se desfășoară pe viteză, în max 10 min a dat gata 300 ml, după care scoate biberonul și ti-l arunca (la propriu) pe blatul de bucatarie ca de… e murdar si trebuie spălat 🙂
Anca
Cu adormitul cu biberonul în gură, ptr ca te întrebai cum sa îl speli dacă totuși ti-a adormit. Mama avea ceva trucuri: (1) intotdeauna un biberon cu apa la îndemână, când vezi ca iti adoarme îi dai sa bea apa sa “își clateasca gura” și (2) compresa sterila înfășurată pe degetul arătător, ștergi ușor dintii, chiar dacă doarme. Bine, sunt soluții de urgenta, ptr aplicare ocazionala, spălatul pe dinți e cel mai bun. Dar cu aceste 2 metode de urgenta m-a crescut și pe mine și nu, nu prea am avut probleme cu dinții.
Cu dulciurile avem și noi grija, pana la vârsta la care am observat că putem să îl spălăm pe dinți l-am ținut departe de dulciuri, apoi am început sa mai permitem una alta, dar cu măsură! Speram ca va fi ok și nu va avea carii pe dinții de lapte!
Copila Blondă
dacă îl speli pe dinţi şi te preocupă chestia asta, şansele sunt mici. Vezi ce dentist bun sunt, nici n-am examinat copilul şi deja am o părere :)))
Gabriela
Gãlušca mea are 7 luni jumate ši s-a împrietenit cu Suzi pe la 5,5 luni cand, ca sa nu ii mai masez gingiile dureroase cu degetul am apelat la a le masa cu suzi. De atunci, cand simte vreun disconfort la nivelul gingiilor, isi “ronțãie” suzeta… Nu adoarme cu ea, nu o foloseste drept inlocuitor de san…o roade doar la nevoie.
Copila Blondă
E ideal aşa! Poţi băga şi nişte castravete în frigider şi să îi dai aşa, poate o ajută. Doar mare grijă să nu se înece cu bucăţile molfăite.
dia
Miruna, off topic, ce metode de prevenire/diminuare a durerii ați folosit pentru Tudor la primul vaccin?
Copila Blondă
urmează la voi? nu ştiu ce să zic, doar să îl ţii la sân în timpul injecţiei propriu-zise, cică ajută mult. Succes!
dia
Mulțumim! O sa folosesc si un pic de gel cu lidocaina..
Copila Blondă
Nu are efect pe piele, doar pe mucoase. Dar poţi pune, pentru liniştea ta. Hai că va fi bine!
dia
Am gasit un systematic review de la canadieni cu privire la intervențiile ce se pot lua sa minimizezi disconfortul..
http://m.cmaj.ca/content/182/18/E843.full
dia
Eu la spital folosesc foarte des fie unguentul cu lidocaina sau patch-urile pentru durerea musculoskeletala si am încercat si la pacienții cu durere neuropata si ajuta… Nu complet, dar it takes the edge off…
Oana
Fetita mea are 4 luni si pe la fix 3 luni a unceout sa-si suga degetul. M-am frasuit si eu grozav. M-am sfatuit cu pediatra si mi-a zis sa incerc suzeta, dar fiind alaptata exclusiv nu a vrut-o. Am inteles ca bebelusii alaptati nu prea accepta suzeta.
Intr-un final dupa ce m-am mai documentat in stanga si in dreapta am decis s-o las sa-si suga degetelul. Suzeta imi displace teribil si, la fel ca tine, ma simteam oribil cand trebuia sa i-o dau. Aproape m-am bucurat ca n-a acceptat-o.
Din ce am citit copiii tind sa renunte singuri la degetel pana la varsta de 1 an daca incep sa-l suga pe la 3 luni. Si tot din ce am citit cu cat parintele e mai putin crizat in legatura cu gestul cu atat copilul e mai dispus sa renunte.
Metodele babesti cu ardeiul iute, piperul si alte nebunii nu sunt agreate. Copilul considera ca este pedepsit 🙁
Copila Blondă
mi-a plăcut asta cu “m-am frăsuit” :*
nici eu n-aş aplica ardeiul iute…
Huse
Fimiu e disperat dupa deget… cred ca o sa ii bag suzeta pe deget ca sa stiu o treaba, cine credea ca e usor sa fi tata?
Oana
http://www.pressherald.com/2010/07/11/dont-pester-children-about-thumb-sucking_-you-just-make-it-worse_2010-07-11/
Copila Blondă
merci pentru link 🙂
Jual
Baiatul n-a vrut sa accepte suzeta, nici n-a supt degetul. Dentitie foarte buna. Ffata n-a vrut suzeta, dar a supt degetul pina la 5-6 ani. Evident, are aparat dentar. Cum am reusit in fine s-o dezvat: avea un obiect fetis cu care dormea. In momentul in care l-am facut pierdut s-a dezvatat singura. Am citit trucul asta cum multi ani pe forumul desprecopii.
Copila Blondă
bine că s-a dezvăţat până la urmă!
Sefora
Baiatul meu pe la 3 luni a inceput sa isi suga degetele si eu de fiecare data ii scoteam degetele si ne jucam cu ele. Am avut un pic de tras dar s-a dezvatat. Suzeta i-a bagat-o fortat in gura doctorita de familie ptk plangea. A ramas cu ea pana la 1.5 ani cand i-am taiat varful,i-am aratat-o lui si i-am zis ca s-o arunce el la gunoi ca uite nu mai e buna. A aruncat-o singurel. Se tot uita in gunoi dupa ea. A plans vreo 6-7 zile cu moderatie si asa am scapat.
Copila Blondă
Felicitări că aţi scăpat!
Cristina
Eu nu am lasat-o pe fetita mea sa suga degetul, ca sa nu devina o obisnuinta: i-am ‘propus’ suzeta (exista si din cauciuc natural, nu sunt toate din plastic). Pe la un an si jumatate, suzeta a disparut brusc, ‘furata de o pisica’ (n-am gasit o poveste mai buna atunci). A plans doar in seara respectiva, inainte de culcare, si a adormit mai greu. In seara urmatoare, a fost doar putin nelinistita. Si asta a fost tot. Daca era mai mare, cred ca s-ar fi gandit la solutii alternative, ar fi cerut sa ii cumpar alta, ar fi gasit argumente sau ar fi incercat sa negocieze … asa, a parut sa accepte disparitia suzetei ca un dat. Prietena ta are insa dreptate, nu exista o solutie universala. Stiu doar, din ceea ce am vazut in jur, ca e mai greu sa renunti mai tarziu.
Copila Blondă
normal că nu există soluţie universală! Nici copiii nu sunt la fel. Dar cred că poveştile şi experienţele diferiţilor copii şi părinţi ajută pe alţii, poate ne vin idei mai bune. Eu nu ştiam faza cu tăiatul moţului la suzetă, de exemplu.
Andreea Ilie
Victor a avut in maternitate suzeta. Cand am ajuns acasa, nu a mai dorit-o. Desi a baut lapte cu biberonul, in primele 2 luni nici urma de dorinta de a accepta suzeta. Intr-o criza de plans, undeva pe la 2 luni, cand nu reuseam sub nicio forma sa il linistim, nici sus, nici jos, nicicum, a venit ta-su cu suzeta. Ii zic : du-te ba de aici cu asta ca sigur nu o vrea. Si ce sa vezi? A vrut-o! Si de atunci nu a mai renuntat la ea. Acum la 1 an si 8 luni este prietena lui cea mai buna. O cere des, nu doarme fara ea, mai nou are si o noua pasiune ( manie as putea sa ii zic), cand cere suzeta neaparat trebuie sa ii dai si un servetel pe care il pune intre suzeta si piele, nu stiu care e treaba cu asta, ii place maxim sa stea cu suzi si servetelul proptit acolo. Intentionam sa o scoatem incet incet la 2 ani, insa exact atunci vine si bebe 2 si nu vreau sa ii creez mai multe frustrari deodata, asa ca mai asteptam un pic. La fel si cu olita, nu vreau sa inregistram regres cand vine bebe 2… Vedem ce facem vara asta, totusi.
Copila Blondă
nu te stresa cu oliţa, părerea mea. Tot învaţă el până la urmă. Şi felicitări pentru a doua sarcină!
o femeie
bon, vin din familie cu copii ce au supt degetele multi ani. Copii cu “issue”-uri psihologice, neglijati de parinti, degetul era o alinare, probabil un fel un retur emotional la perioada de supt la san.
Fiica mea a vrut suzete cand au inceput sa creasca dintii. Avea zile fara, zile cand mergea cu 2 in gura (si 2 in maini, zic 😀 ). La 2 ani am pregatit toate suzetele si tetinele sa le dam unui bebe mic (nou nascut in familie). I-am explicat de mai multe ori, am vazut pe bebe mic de mai multe ori, am pus peste 1-2 sapt. intr-o punga toate tetinele si suzetele (impreuna, zic). Seara la culcare a marait. Mi-am dat seama ca ea ar fi marait si cand nu avea suzeta dar aia ii inchidea gura. Dupa cateva zile o gasit una (printre jucarii) si ne-o dat-o pentru bebe!
Gabriela
Buna! Vreau sa iti multumesc pentru articol. Fiul meu are 3.5 ani si isi sugea degetul (doar ca sa adoarma, nu statea cu el in gura si in timpul somnului sau ca sa se linisteasca). De la 3 ani sta la gradinita si pt somnul de pranz, si acolo nu si-a supt niciodata degetul, desi nu i-a spus nimeni asta. Chiar a durat ceva timp pana am aflat. Ii tineam eu un speech cum ca “atunci cand o sa se simta pregatit o sa renunte etc” si mi-a zis el ca la gradinita nu si-l suge, lucru pe care mi l-a confirmat educatoarea. Dar acasa a continuat sa adoarma cu degetul. Am dat peste articolul tau si i-am aratat si lui pozele. Discutie calma, “Uite ce s-a intamplat cu dintii copilului daca si-a supt degetul dupa 3 ani”, nu sa bag spaima in el. Cred ca era un caz extrem prezentat, dar asta nu i-am mai spus, dar nici nu l-am mintit, totusi 🙂 Si a zis el singur ca de acum o sa adoarma fara deget. O spatamana mi-a tot cerut sa ii arat pozele cu dintii inainte de somn, i-a explicat si tatalui ce si cum, si a adormit doar cu iepurele de plus. As simple as that, fara zvarcoliri. Asa ca multe multumiri din partea noastra 🙂
Copila Blondă
Tu, Gabriela, nici nu îţi imaginezi cât mă bucur!!! Şi îţi mulţumesc şi eu că mi-ai scris să îmi spui. Felicitări şi vouă şi băieţelului!
Sanda Smith
Exista studii care sa arate ca suptul degetului sau al suzetei nu este nociv pana la 3 ani? Pare mai degraba o gaselnita a fabricantilor de tetine…. Cu cat copilul este mai mic, cu atat palatul este mai maleabil si isi formeaza forma in functie de ce este in contact cu el. Contactul cu limba in repaus sau cu sanul in timpul meselor formeaza un palat frumos si plat, in timp ce suzeta sau degetul sunt inguste si relativ dure si duc la un palat ingust si inalt. Daca palatul a fost ingustat de 3 ani de utilizare intensiva a suzetei, pare putin probabil ca se va mai “netezi” la 3 ani, mai ales ca nici nu prea mai are ce sa il netezeasca la varsta asta; suptul la san e probabil mult redus, iar pozitia limbii in gura probabil ca este deja incorecta….
Copila Blondă
ori o găselniţă a fabricanţilor de degete :)) normal că ideal e să nu sugă nimic în afară de sân, însă până la 2-3 ani nu e aşa o mare problemă. Desigur, acolo unde nici natura nu ajută (unele malformaţii au mare componentă genetică, nu sunt toate dobândite), normal că şi suptul degetului până la 1 an e foarte nociv.
Sanda Smith
Practic ma surprinde ideea ca la varsta la care palatul se modifica cel mai usor, suptul degetului sau al suzetei e considerat nevinovat, in timp ce la varsta la care nu prea se mai modifica decat marginal, suptul ne-nutritiv ar trebui oprit cat mai rapid. M-as astepta ca tetinele artificiale sa faca cel mai mult rau in primul an de viata, nu in al patrulea….
Sanda Smith
http://www.brianpalmerdds.com/bfeed_oralcavity.htm
sovar anca maria
Am o fetita de 1 an si 8 l in prezent.La 1 an si 2 l am intarcat.o si imi propusesem sa uite de titi ca sa o dezvat di de supt degetul ( sa nu fie traumatizant sa ii iau ambele alinturi).Zis si facut!La 1 an si 3l insa, s.a ars fix la degetul pe care si.l sugea!Plansete 3 ore, inima mea bucati; dar mi.am zis ca e cazul sa o dezvaz…asa ca i.am bagat o sosetuta in mana si am legat.o cu un siret.A durat doar 4 zile si 3 nopti!!!A scapat fff repede de obicei.Astfel ca, in urma experientei personale si a ceea ce am observat la alte mamici : obiceiurile proaste, nesanatoase trebuie eradicate cand sunt mici, mici (adica nu fff constienti).
Miruna
e foarte bine ca ai dezvatat-o!
Elena
Bi, a primit suzeta din prima zi de viață. A stat 2 zile in incubator și plângea foarte mult. A fost alăptat, a băut din biberon până la 1a jum, nu a supt degetul dar a acceptat suzeta. O ținea foarte mult timp, chiar și în somn, mai ales când au apărut dinții. Acum are 1a și 9 l, de când a început să bombănească toată ziua, îl încurcă suzeta, habar nu are de ea daca nu o vede, o cere doar la nani și o caută dimineața,că să doarmă mai mult :))))
Ana
Știam eu!!! Am avut suzetă până pe la 3 ani și ceva , dinții mei nu se întâlnesc, (nu arată urât, dar…) întotdeauna am bănuit că suzeta a fost de vină, dar nu am avut cunoștințe despre acest fenomen. Noroc că fiul meu nu are suzetă! E un super articol, mulțumesc! <3
Miruna
Se prea poate să fie suzeta de vină. Îmi pare rău, felicitări pentru fiul tău!
Nicoleta
Dar de ce trebuie sa fie deget sau suzeta? Se imprimă viitoarelor mămici ( sau proaspetelor mamici) ideea ca nu se poate fara una din cele două, si cred ca auzea castiga de fiecare dată. Eu am fost copil crescut fără suzeta si nu mi.am supt degetul si am la rândul meu 2 copii care nu au avut nici suzeta si nici deget nu au supt. Deci se poate foarte bine fără!! Deloc! Asemenea titluri de articole fac foarte rau pentru ca si daca nu citesti articolul, doar citind titlul iti ramane in minte ideea ca exista numai una din cele 2 soluții- complet fals!! Se poate fara niciuna din Cele două si este mult mai bine asa pentru ca nu trebuie sa faceti copilul de nimic.
Miruna
Nici fiul meu nu are nici suzeta, nici deget de subt. Doar sanul. Insa, titlul da informatii despre articol, cine il citeste gaseste inclusiv informatia ca se poate si fara deget sau suzeta. Dar na, nu putem intotdeauna sa multumim pe toata lumea. In loc sa ne bucuram ca acest titlu a adus solutie cel putin intr-o caza si a scapat un copilas de suzeta, noi ne pierdem energia lasand critici. Bravo.
Ligia
Buna, cum l-as putea convinge sa ma lase sa îl spăl eu pe dinti? La început a acceptat, stătea foarte cuminte, însă treptat a vrut doar el sa se spele singur.
Monica
Baietelul nostru de 1a8l isi suge degetul de pe la 6 luni. Toata lumea ne acuza ca face asta fiindca nu i-am dat suzeta. Da, intentionat nu i-am dat si nu stiu daca am facut bine, caci mai nou isi suge degetul des si cu mult patos, iar eu fiind insarcinata cu bebe 2, am sanii f sensibili (si fara lapte deja), si nu mai imi e la indemana sa ii tot ofer sanul cand isi baga degetul. De fapt, din ce am citit, nici nu e asta solutia. Stomatologii ne-au speriat tare ca mai tarziu va avea probleme mari cu palatul si sa facem ceva. Am vrea sa ii dam suzeta, nu stiu daca o mai ia la varsta asta, insa metode barbare nu vrem sa aplicam. Am observat oricum ca e 90% chestiune psihologica, daca ii acordam toata atentia noastra, bineinteles ca facem asta, dar nu poti face mereu asta (de ex cand fac de mancare sau cand suntem pe masina-se plictiseste repede in scaun si isi ia degetul). Ne-am gandit sa apelam la un psihoterapeut, care sa ne arate ce putem face mai exact. Daca aveti reusite, mamici, va rog, spuneti-mi si mie. Multumesc mult!
Loredana
M-am regăsit în articolul tău… și eu am plâns când am încercat să-i dau copilului suzeta.. aceeași reacție a avut-o și copilul meu, nu a acceptat-o deloc, imediat o scuipa. A fost un episod când a ținut-o câteva secunde și deja mă podidise plânsul 🙈.
Pe la 6 săptămâni a descoperit degetul mare, apoi degetele si pumnii.. a renunțat pe la 8 lunite când încercând să sugă degetul l-a strâns prea tare între incisivi si s-a mușcat.. apoi nu l-am mai văzut cu degetul în gura. Am scăpat relativ ușor.